急诊绿色通道,让她起死回生
东北国际医院 次 (0)次
“时间就是生命”。对于急性脑血管病的救治,这样的形容再合适不过。每次接到急诊的电话,东北国际医院神经外科的接诊医生都习惯了“跑步前进”。等待他们抢救的,是大脑,是生命,也是患者未来的生活质量。他们 “分秒必争”,通过与急诊科、麻醉科、手术室等科室间的无缝协作,竭力缩短从诊断到治疗的时间,建立起真正的急救绿色通道。

2017年12月4日,东北国际医院成功救治急性脑出血患者闻女士,创造了又一个生命与时间赛跑的奇迹。
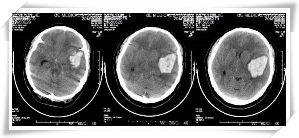
12月4日19:20分,52岁的患者闻女士因“突发意识不清2小时”被推入东北国际医院急诊科。经急诊头部CT检查,患者被诊断为左侧脑出血,破入脑室。此时,患者已处于中度昏迷状态,刺痛不睁眼,问话不答,呼吸深促。情况危急,必须紧急启动医院“绿色通道”!很快,手术室已准备就绪,麻醉科医生完成了准备工作,神经外科薛洪利主任闻讯后也第一时间从家赶到医院。经验告诉他,患者很可能是动脉瘤破裂导致出血。于是,薛主任亲自主刀,在术中进行探查,发现果然是形态不规则1.0cmX1.2cm动脉瘤破裂出血,并立即为患者行夹闭术,术中清除积血80ml。术后,患者恢复了意识,可以自行睁开眼睛,转入神经外科重症监护室继续治疗。
从入院到手术,仅用了30分钟。这得力于急诊科的有力协调和医院多学科、多科室的默契配合。正是大家的齐心协力,才实现了院内急诊救治、手术治疗、ICU监护及专科治疗等环节的无缝衔接,建立起了真正的“绿色通道”。
由于对闻女士的抢救及时,目前患者的生命体征趋于平稳,已转入普通病房。

△闻女士术前头部CT成像

△闻女士术后头部CT成像
为确保急救的医疗质量,医院急诊科不仅抢救设施齐全,而且配备了强有力的医护人员。他们学历层次高、诊疗经验丰富,全部经过急救培训,为急诊病人的抢救提供了强有力保障。
神经外科薛洪利主任介绍说:“手术之所以效果这么好,关键是医院的急救绿色通道为病人争取了时间。时间对病人和医生来说都很重要,现在我们的做法是节约一切可以节约的时间为病人服务,不再是病人跑去专科找医生,而是由专科医生跑去找病人。这个绿色通道的特别之处就是在急诊科的时候就已经完成了一系列术前准备工作,包括通知神经外科医生会诊、通知影像医师检查头颅CT、通知手术室备好手术间及手术用具,并完成住院手续及剃头抽血等具体的工作。”

△薛洪利主任与医疗团队病例分析中
“节约一切可以节约的时间为病人服务”,这充分体现了东北国际医院以患者为中心的医疗理念,真正体现了“时间就是生命”的特殊意义。东北国际医院开诊以来,神经外科已有12名患者通过急救绿色通道得以及时抢救,争取到了最佳治疗时机。
上一篇: 21岁男大学生三楼坠落致腰椎爆裂骨折
下一篇: 最美年夜饭:大爷,让我喂您吃饺子

