双侧颈内动脉海绵窦瘘栓塞介入手术成功
东北国际医院 次 (0)次
60岁的孔先生半年前发生交通事故,急诊送至东北国际医院时生命垂危。被诊断为多发伤:特重度开放性颅脑外伤、眼外伤、右下肢开放性外伤、右膝关节外伤、左髂骨外伤、鼻外伤、胸部外伤。东北国际医院神经外科紧急开通生命绿色通道直通手术室,40分钟内便为其行颅内血肿清除、去骨瓣减压术,术中眼科、耳鼻喉科、骨科等多学科联合,共同施救。由于手术及时,孔先生成功获救。一家人悬着的心稍微放松了些。

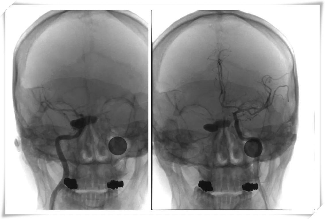
可没多久,孔先生双侧眼球逐渐突出,且日渐加重。再次检查发现,竟然是双侧颈内动脉海绵窦瘘。颈内动脉海绵窦瘘(CCF)是脑外伤后一种少见又极为严重的并发症,如果不及时处理,患者随时可能因爆发式“七窍”大出血危及生命。

东北国际医院神经外科薛洪利主任、闻华副主任在综合评估之后,当机立断,决定采用国际医学界最先进的脑血管神经介入栓塞技术进行治疗。这种方法不必开颅,创伤小,能够保证患者的正常生理结构不受损伤,而且恢复快,治愈率高。 但是手术难度极大:颅内压力太高,栓塞材料无法停留;颈内动脉的破口也不易找到,术者需要完全凭借丰富的经验进行操作。闻华副主任率领团队充分准备,为孔先生右侧海绵窦瘘行球囊部分栓塞,左侧行覆膜支架。经过团队的协同奋斗,手术圆满成功!

这是一支能打胜仗的团队!开科一年多来,神经外科已成功救治262位急危重病患者,在介入手术领域也不断创造着新成绩。
上一篇: 80天!特重颅脑损伤患者恢复自主呼吸

